No. 24 A Big Street, Tiruvannamalai-1, Tamilnadu
Mon - Sun
9AM - 9PM
Appointment
HOME
ABOUT US
SPECIALTIES
HOMEOPATHY
DENTAL CARE
MASSAGE THERAPY
DISEASES
A - Z DISEASES
DENTAL DISEASES
GALLERY
BLOG
BLOG - ENGLISH
BLOG - TAMIL
CONTACT US
Dental Diseases
Dental Care
Dental Diseases
Comprehensive Dental Care for a Healthy and Bright Smile
Tooth Decay & Treatment
Tooth decay, caused by bacterial buildup, leads to cavities and pain. Treatments include fillings, crowns, and root canals to restore health and function.
Gum Disease & Treatment
Gum disease or periodontal disease, is an infection of the tissues that hold teeth in place. Treatments focus on cleaning & medication to prevent tooth loss.
Tooth Sensitivity & Treatment
Tooth sensitivity causes pain or discomfort when exposed to certain substances or temperatures. Treatments include special toothpaste and fluoride applications.
Tooth Extraction & Treatment
Tooth extraction is necessary when a tooth is too damaged to be repaired. The procedure involves removing it to prevent further issues and maintain oral health.
Dental Implants & Treatment
Dental implants are artificial roots placed in the jaw to hold replacement teeth or bridges. They provide a strong foundation and improve appearance and function.
Teeth Whitening Treatment
Teeth whitening procedures lighten the color of teeth & remove stains. Methods include bleaching agents & other treatments for a brighter smile.
Orthodontics Treatment
Orthodontics involves correcting teeth and jaw misalignments using devices like braces. The treatment helps straighten teeth and improve bite and oral health.
Root Canal Treatment
Root canal treatment saves a severely decayed or infected tooth by removing the damaged tissue, cleaning the area, and sealing it to prevent further issues.
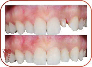
Dental Crowns Treatment
Dental crowns are caps placed over damaged teeth to restore shape, strength, and appearance, made from materials like porcelain and metal.
Bruxism Treatment
Bruxism, or teeth grinding, can lead to tooth damage and jaw pain. Treatments include mouthguards and stress management techniques to protect teeth.
Oral Cancer Screening
Oral cancer screenings involve checking for signs of cancer or precancerous conditions in your mouth. Early detection is crucial for successful treatment.
Oral Thrush Treatment
Oral thrush is a fungal infection, causing white patches and discomfort. Treatments include antifungal medications and good oral hygiene practices.
TMJ Disorder & Treatment
TMJ disorders affect the jaw joint, causing pain and difficulty in movement. Treatments include medications, physical therapy, and sometimes surgery.
Dry Mouth & Treatment
Dry mouth, or xerostomia, is when salivary glands don't produce enough saliva. Treatments include substitutes and medications to stimulate flow.
Dental Abscess & Treatment
A dental abscess is a pocket of pus caused by a bacterial infection. Treatments include draining the abscess and antibiotics to eliminate the infection.
Canker Sores & Treatment
Canker sores are small, painful ulcers inside the mouth. Treatments focus on pain relief and healing, including topical medications and avoiding triggers.
Wisdom Teeth Removal
Wisdom teeth removal is often necessary when these cause overcrowding or alignment issues. The procedure involves extracting one or more to prevent issues.
Dental Sealants & Treatment
Dental sealants are thin coatings applied to the chewing surfaces of back teeth to prevent cavities. They are especially beneficial for children and teenagers.